Zähne, in denen sich kleine Löcher gebildet haben, können in der Regel gut mit Kompositmaterialien wiederhergestellt werden. Wir verwenden hierzu nur hochwertige zahnfarbene Materialien aus Kunststoff mit Keramikanteilen.

Kompositfüllungen werden adhäsiv mit dem Zahn verklebt - dafür ist absolute Trockenheit die Voraussetzung, d.h. Kompositfüllungen sind nur so lange möglich, so lange der Defekt nicht zu tief unters Zahnfleisch reicht oder mit zusätzlichen Hilfsmitteln, z.B. Kofferdam, Trockenheit erreicht werden kann. Neben der sicheren Kariesfreiheit (Lupenbrille!) ist eine dichte Füllung die Basis für den langfristigen Erfolg der Behandlung.
Solange die eigenen Höcker zum Aufnehmen der Kaukräfte noch vorhanden sind, ist die Behandlung des Zahnes an dieser Stelle zu Ende - Funktion und Ästhetik sind für viele Jahre wiederhergestellt.
Ist der Defekt durch die Karies größer und sind eigene Höcker in Mitleidenschaft gezogen, so stellt eine Kompostifüllung eine direkt in der Zahnarztpraxis machbare, gute und schöne Versorgung dar, der Zahn sollte aber innerhalb der nächsten Jahre zur Stabilisierung weiterversorgt werden. Hierzu kommen defektorientiert angefertigte Teilkronen oder Kronen aus einem Zahntechniklabor in Frage, in der Regel aus modernen zahnfarbenen Keramikwerkstoffen.
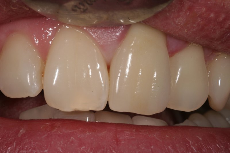
Auch komplizierte Frontzahndefekte, z.B. nach Unfällen lassen sich heute ästhetisch voll zufriedenstellend wiederherstellen.
Wenn bereits wenige oder auch viele Zähne fehlen, gibt es eine große Auswahl an Versorgungen. Um zu entscheiden, welche Versorgung im Einzelfall die richtige ist, halten wir ein vertrauensvolles Beratungsgespräch zwischen Arzt und Patient, evtl. unter Hinzuziehung eines Zahntechnikmeisters, für hilfreich.
![]() Vollkeramikkrone
|
![]() Frontzahnkrone aus Keramik nach Unfall
|
![]() Hochwertige Teleskopprothese
|
HAUPTSEITE

